Smile Gallery
Cases below were performed and completed by Dr. Robert M. Haddad, D.D.S.
BEFORE: worn, spaced, aged front teeth
AFTER: porcelain crowns to correct damaged structure and restore youthful smile
BEFORE: uneven smile, recessed gumline showing metal staining of previous crowns/bridge
AFTER: full arch porcelain restorations to restore symmetry and improve esthetics
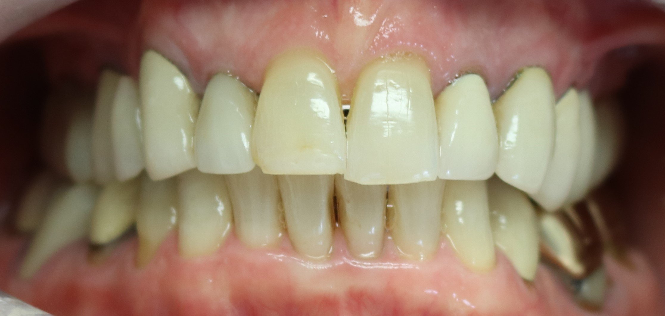
BEFORE: worn flat, greyed smile with recession space between teeth
AFTER: porcelain crowns to give renewed, balanced smile
BEFORE: broken front bridge with missing upper back teeth
AFTER: complete upper fixed porcelain bridge to restore full function and beautiful smile
BEFORE: crowded teeth with crossbite and malocclusion
AFTER: Invisalign completed in 9 months to ideally align smile and bite
BEFORE: heavily worn, stained, flat smile
AFTER: porcelain crowns for a renewed smile with function and symmetry
BEFORE: severe spacing on front teeth
AFTER: Invisalign completed to close spacing and align smile and bite in 10 months
BEFORE: worn dentition with broken front bridge and severely worn lower front teeth
AFTER: complete upper and lower non-removable implant porcelain bridges
BEFORE: moderate crowding and narrow arch
AFTER: Invisalign completed in 9 months to broaden smile and correct crowding
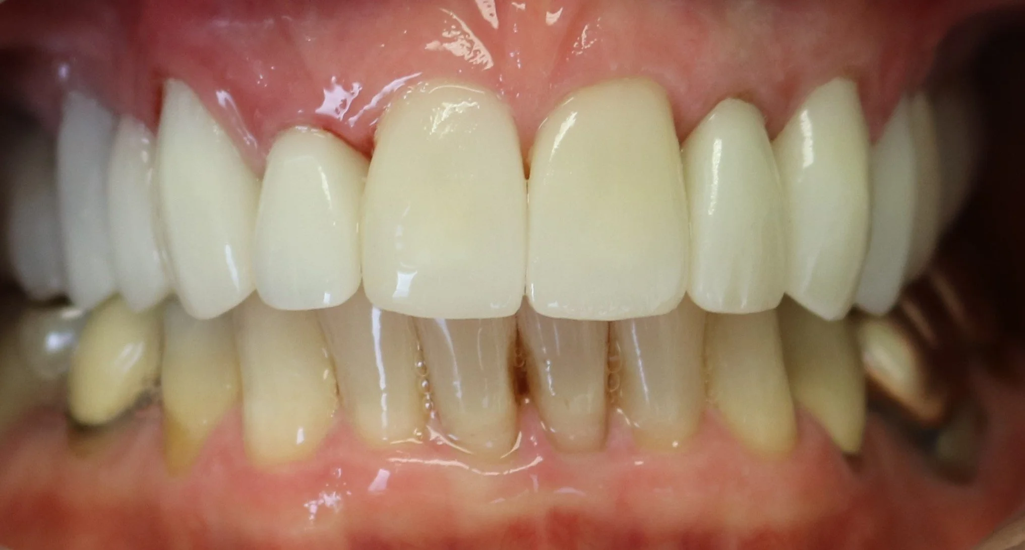
BEFORE: worn, stained, imbalanced front teeth
AFTER: porcelain crowns for renewed symmetry and improved shade
BEFORE: severe cavities due to high sugar consumption and neglect
AFTER: bonded resins to restore damaged structure and matching tooth shade